Research conducted by a team from Shandong Agricultural University and Nanjing Agricultural University, along with the Zhongshan Biological Breeding Laboratory, has yielded significant insights into the genetic variations of pears. This study, published in Horticulture Research in May 2025, sheds light on how genetic alterations have influenced pear domestication and breeding processes.

Pears are among the oldest domesticated fruit trees, and their adaptation to diverse climatic conditions has involved extensive genetic changes. While previous research has identified harmful mutations in annual crops, there is limited understanding of similar patterns in perennial species like pears. This study aims to fill that gap by exploring genetic diversity and mutation patterns across various pear species, ultimately enhancing breeding strategies for more resilient and higher-quality varieties.

The research team analyzed over 9 million SNPs (single nucleotide polymorphisms) across 232 pear accessions, revealing critical findings about how domestication has impacted deleterious mutations in pears. Notably, the study identified a total of 9,909,773 SNPs, with 139,335 classified as deleterious mutations. These mutations were predominantly concentrated in coding regions, showing a higher prevalence in Pyrus communis, the European pear, compared to other species.

Uncovering Genetic Patterns and Implications for Breeding

The research highlighted specific regions of selective sweep where domestication led to a reduction of deleterious mutations in P. pyrifolia and P. bretschneideri. Conversely, an increase in such mutations was observed in P. communis, likely due to genetic drift occurring during the domestication process. These findings provide a clearer understanding of the genetic evolution of pears.

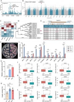
Additionally, the study emphasized the role of the PyMYC2 gene, which is linked to stone cell formation in pears. The overexpression of this gene in pear callus cultures resulted in increased lignin and stone cell content, marking it as a pivotal target for breeding strategies focused on improving pear texture.

Professor Jun Wu from Nanjing Agricultural University stated, “This research provides valuable genomic insights into pear domestication, particularly in understanding how deleterious mutations shape agronomic traits. The identification of PyMYC2 as a regulator of stone cell content is a breakthrough that could significantly inform future breeding strategies.”

Implications for Future Pear Varieties

The discovery of deleterious mutations and their association with agronomic traits presents important implications for breeding programs. By focusing on genes like PyMYC2, breeders can work towards developing new pear varieties that exhibit enhanced traits, including improved texture and disease resistance. This research also suggests that modern molecular breeding techniques, such as genome-wide selection, can mitigate the accumulation of harmful mutations in cultivated varieties, leading to healthier and more productive pear crops.

These insights are particularly crucial as global demand for high-quality pears rises, alongside the need for increased crop resilience in response to climate change. The study was supported by the National Science Foundation of China, among other funding bodies, highlighting the collaborative effort behind this significant research.

As the understanding of pear genetics advances, the potential for developing superior varieties that meet consumer expectations and withstand environmental challenges becomes increasingly attainable. The ongoing exploration into genetic variations offers promising avenues for the future of pear cultivation.